![]() |
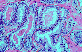
| Imagerie par microscopie optique d'un cancer de la prostate. Copyright J.L. KEMENY / SCIENCE PHOTO LIBRARY |
Les scores de Gleason sont appliqués par les
pathologistes sur la base de la morphologie du cancer de la prostate pour
décrire la perte de structure du tissu; ils sont fortement corrélés avec l’agressivité
de la maladie et le devenir des patients.
Le système de classification Gleason catégorise
les tissus tumoraux en 5 niveaux de configurations, allant du niveau 1 (risque
faible) au niveau 5 (risque élevé). Bien que le score de Gleason soit, depuis
longtemps déjà, associé au risque de récidive et de métastatisation du cancer
de la prostate, de nombreuses divergences de vues sont à dénombrer entre les
observateurs, pour ce qui est notamment des grades intermédiaires de la
maladie. L’observation en profondeur, une approche dite « automatique » réalisée à l’aide de l’imagerie utilisant des agents marqués (…) s’est montrée utile dans
une grande variété de domaines similaires en pathologie numérique.
Deux articles originaux publiés dans The Lancet Oncology par Ström et al et Bulten et al*, utilisent l’observation en profondeur et le système de
score de Gleason d’évaluation du degré d’un cancer de la prostate dans les
images numériques obtenues sur des biopsies. Anant Madabhushi, Michael D
Feldman, Patrick Leo, Commentaire, dans The Lancet Oncology, publication en
ligne en avant-première, 8 janvier 2020
Source iconographique, légendaire et rédactionnelle :
The Lancet Online / Traduction et
adaptation : NZ

Aucun commentaire:
Enregistrer un commentaire