![]() |
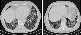
| Fibrose Pulmonaire Idiopathique.Tomodensitométrie haute résolution des poumons d'un patient atteint de Fibrose Pulmonaire Idiopathique. (...) Source iconographique et légendaire: https://fr.wikipedia.org/wiki/Fibrose_pulmonaire_idiopathique |
Le bénéfice apporté par le sildenafil chez les
patients atteints de fibrose pulmonaire idiopathique (FPI) à risque d’hypertension
pulmonaire, qu’elle soit déjà présente ou susceptible de se développer, reste
incertain. Notre but était d’évaluer l’efficacité et l’innocuité du sildenafil
additionné à la pirfenidone versus placebo additionné à la pirfenidone
pendant 52 semaines chez des patients atteints de FPI avancée et à risque d’hypertension
pulmonaire de grade 3.
Nous avons réalisé une étude multicentrique
internationale de phase 2b dans 56 centres hospitaliers universitaires,
hôpitaux abritant des groupes de recherche clinique, et sites tertiaires au
Canada, en Europe (Belgique, République Tchèque, Allemagne, Grèce, Hongrie, Italie,
Pays Bas, Espagne, et Turquie), en Israël, et en Afrique (Égypte et
Afrique du Sud). Les patients éligibles (âgés de 40 à 80 ans) présentaient une FPI
idiopathique avancée (capacité de diffusion du monoxyde de carbone ≤ 40% prévue
au dépistage) et étaient porteurs d’un risque d’hypertension pulmonaire de
grade 3 (pression moyenne de l’artère pulmonaire ≥ 20 mm Hg avec une pression capillaire
artérielle pulmonaire ≤ 15 mm Hg mesurée lors d’une précédente cathéterisation
du cœur droit, ou présentaient une probabilité moyenne à élevée d’hypertension
pulmonaire de grade 3 mesurée par échocardiographie (directives 2015 de l’ESCERS).
Les patients étaient répartis au hasard en deux groupes : groupe recevant
les comprimés de sildefanil administrés per os (20 mg trois fois par jour) OU
groupe recevant le placebo ; les
patients des deux groupes recevant en outre pirfenidone per os en gélules
(801 mg trois fois par jour), à l’aide d’un système internet à réponse vocale
interactive (…), stratifiés selon la précédente cathéterisation du cœur droit
(oui ou non) et le Volume Expiratoire Maximum en 1 seconde (VEMS1) et la Capacité
Vitale Forcée (CVF) (<0.8 ou ≥8). Le critère principal d’évaluation –
à plusieurs composantes évaluées sur la population en intention de traiter – comprenait :
progression de la maladie, définie par l’altération des performances en termes
de distance parcourue lors d’une marche d’une durée de 6 minutes ;
admission à l’hôpital liée à une altération des facultés respiratoires ;
ou mortalité toutes causes confondues, après 52 semaines. L’innocuité était
évaluée chez tous les patients qui avaient reçu au moins une dose du médicament
à l’étude. L’essai ne recrute plus de patients (…). Le suivi d’innocuité est
toujours en cours.
Entre le 13 janvier 2017 et le 30 août 2018, 247
patients ont été examinés en vue de leur éligibilité, 177 d’entre eux ont été
répartis de manière aléatoire dans les groupes (n=88 sildenafil ; n=89
placebo) et ont été évalués. Aucune différence en termes de progression de la
maladie n’a été relevée entre le groupe de patients recevant le sildenafil (64
[73%] patients sur 88) et le groupe de patients recevant le placebo (62 [70%]
patients sur 89) ; différence intergroupe 3.06% [Intervalle de Confiance
-IC- de -11.30 à 17.97] ; p=0.65). Des événements indésirables graves
apparaissant sous traitement ont été rapportés chez 54 (61%) patients du groupe
sildenafil et chez 55 (62%) patients du groupe placebo. Des événements
indésirables apparaissant sous traitement survenant à une mortalité sont
survenus chez 22 (25%) patients du groupe sildenafil et chez 26 (29%) patients
du groupe placebo.
L’addition de sildenafil à la pirfenidone n’a pas
apporté de bénéfice versus la combinaison pirfenidone plus placebo chez les
patients atteints de FPI avancée et à risque d’hypertension pulmonaire. Aucune
alerte de sécurité d’essai n’a été identifiée, ni dans le groupe sildefanil ni
dans le groupe placebo. Bien que l’absence d’un traitement bénéfique suggère
que le sildefanil ne représente pas un traitement approprié sur une population
globale, de futures recherches sont requises pour établir si des sous-groupes
spécifiques de patients atteints de FPI pourraient tirer profit du sildenafil. Prof
Jürgen Behr, MD, et al, dans The Lancet Respiratory Medicine, publication en
ligne en avant-première, 18 août 2020
Financement : F Hoffmann-La Roche
Source : The
Lancet Online / Traduction et adaptation : NZ

Aucun commentaire:
Enregistrer un commentaire