![]() |
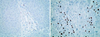
| Cancers de la vessie: un espoir naît de la découverte d'une protéine qui trompe le système immunitaire. Ces images représentent des coupes de tumeurs de vessie; dans celle de droite, la lactadhérine est surexprimée, alors que dans celle de gauche, sa quantité est normale. Le marquage marron permet de repérer les cellules Tregs (Regulatory T cells) . Ces cellules permettent de ralentir les réponses immunitaires, normalement pour éviter qu'elles "s'emballent". En stimulant leur production, la lactadhérine freinerait la réponse du système immunitaire contre les cellules tumorales. Cliché: Yves Allory/Inserm U955/Département de Pathologie/Hôpital Henri Mondor, Créteil. Prochaine étape: inhiber la lactadhérine pour limiter l'évolution des cancers de la prostate Source inconographique et légendaire: http://www.science.gouv.fr/fr/actualites/bdd/res/3759/cancers-de-la-vessie-un-espoir-nait-de-la-decouverte-d-une-proteine-qui-trompe-le-systeme-immunitaire/ |
Le traitement par radiothérapie est une alternative à la cystectomie chez des patients atteints de cancer de la vessie invasif sur le plan musculaire. Dans d'autres maladies, la radiochimiothérapie combinée a été associée à une augmentation du contrôle localisé et à une amélioration de la survie, en comparaison de la radiothérapie seule.
Dans cet essai multicentrique de phase 3, nous avons réparti au hasard 360 patients atteints de cancer de la vessie invasif sur le plan musculaire pour recevoir un traitement de radiothérapie avec ou sans chimiothérapie simultanée. Le protocole de chimiothérapie était composé de fluorouracil (500 mg par m2 de surface corporelle et par jour) au cours des fractions 1 à 5 et 16 à 20 de radiothérapie, et de mitomycin C (12 mg par m2) au jour 1. Les patients ont aussi été assignés de manière aléatoire pour recevoir une radiothérapie de la vessie sur organe entier ou une radiothérapie sur un volume d'organe modifié (c.à.d que le volume de la vessie soumis à la dose entière de rayonnement radiothérapeutique est dans ce cas diminué) sur un design dit factoriel 2-par-2 (résultats non rapportés ici). Le critère principal mesuré était la survie exempte de maladie loco-régionale. Les critères secondaires mesurés étaient la survie globale et les effets toxiques.
A deux ans, le taux de survie exempt de pathologie loco-régionale était de 67% (Intervalle de Confiance - IC - à 95%: 59 à 74) dans le groupe radiochimiothérapie et de 54 % (IC à 95%: 46 à 62) dans le groupe radiothérapie seule. Avec un suivi médian de 69,9 mois, le "hazard ratio" était de 0,68 (IC à 95%: 0,48 à 0,96; P=0,03) dans le groupe radiochimiothérapie.
Le taux de suivi global à 5 ans était de 48% (IC à 95%: 40 à 55) dans le groupe radiochimiothérapie et de 35% (IC à 95%: 28 à 43) dans le groupe radiothérapie seule ("hazard ratio": 0,82; IC à 95%: 0,63 à 1,09; P=0,16). Les évènements indésirables de grade 3 et 4 étaient légèrement plus communs dans le groupe radiochimiothérapie que dans le groupe radiothérapie seule pendant le traitement (36,0% vs. 27,5%; P=0,07), mais pas pendant le suivi (8,3% vs. 15,7%; P=0,07).
La chimiothérapie avec fluorouracil et mitomycin C, combinée avec la radiothérapie, a significativement amélioré le contrôle loco-régional du cancer de la vessie, en comparaison de la radiothérapie seule; sans augmentation significative des évènements indésirables. reported by Vicki Brower, in The Lancet Oncology, Early Online Publication 27 April 2012 (Nicholas D. James M.B., B.S., PhD, in N Engl J Med 2012; 366: 1477-1488 | April 19, 2012)
Source: www.thelancet.com / Traduction et adaptation: NZ

Aucun commentaire:
Enregistrer un commentaire